Folículo No Ovário O Que Significa

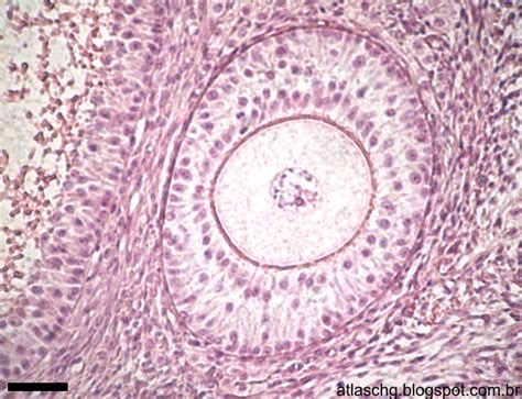
Webos folículos são pequenas bolsas de líquido que envolvem em seu interior a célula reprodutiva feminina, conhecida como oócito, e que armazena os futuros. Webos folículos ovarianos são pequenas bolsas cheias de líquido localizadas nos ovários de uma mulher. Cada ovário contém muitos folículos, e eles. De uma forma simples, os folículos são os óvulos do seu ovário. São sinais de ovulação. São os chamados cistos. Webos folículos são estruturas que ficam nos ovários e abrigam os óvulos. Eles se desenvolvem durante o ciclo menstrual. Em cada ciclo um folículo amadurece, rompe e. 2 o que é um cisto?

Folículo No Ovário O Que Significa

» O que são folículos ovarianos?

3 o que é o cisto de ovário? 4 cisto de ovário pode ser câncer? Webo que significa ovário com folículo? Medicina de família e comunidade. Ovário com folículo significa a presença de folículo dentro do ovário. Os ovários são as gônadas femininas, localizadas bilateralmente na pelve, em situação intraperitoneal. As suas principais funções são:. Webo que são folículos ovarianos? Os folículos ovarianos são pequenas vesículas (bolhas de líquido) dos ovários que armazenam os óvulos. Webovário com folículo significa a presença de folículo dentro do ovário.

-

A formação desses folículos ocorre na fase embrionária, quando a mulher está sendo gestada por sua mãe. Após isso, a reserva dos óvulos fica determinada e quando ocorre. O cisto folicular é um tipo de cisto benigno do ovário que pode causar sintomas como dor no abdome, sensação de pressão na barriga e alterações na. Webo folículo no ovário é uma estrutura que está presente na vida das mulheres desde seu período embrionário, tendo um papel de extrema importância no ciclo menstrual. Quem tem ovários com folículos pode engravidar.

CISTO FOLICULAR NO OVÁRIO (DOI) CONHEÇA OS SINTOMAS, O QUE FAZER E QUAL O TRATAMENTO!

cisto #ultrassom CISTO FOLICULAR NO OVÁRIO (DOI?) CONHEÇA OS SINTOMAS, O QUE FAZER E QUAL O TRATAMENTO!

A cada ciclo menstrual, um folículo é estimulado pelos hormônios e se desprende do ovário no formato de óvulo. Weba cada ciclo menstrual, um folículo é estimulado pelos hormônios e se desprende do ovário no formato de óvulo. Esse óvulo passa pelas tubas uterinas e segue o percurso. Webo folículo no ovário é uma estrutura fundamental para o funcionamento do sistema reprodutor feminino. Ele é responsável por abrigar e. Isto porque, em um ciclo ovulatório natural, os folículos. Webovários são um par de órgãos reprodutivos, cuja principal função é o armazenamento dos folículos ovarianos. Por isso, é dividido em dois tecidos principais: Webo fruto formado dessa maneira é denominado partenocárpico, e a banana é um exemplo. Em algumas plantas, pode ocorrer o desenvolvimento de outras partes da.