Fissura No Osso Do Pé

O que é uma fratura por estresse? As fraturas por estresse são pequenas fissuras em um osso causadas por impacto repetitivo. Estas ocorrem geralmente nos ossos da zona. Um dos sintomas mais comuns é uma dor que se desenvolve gradualmente, aumenta com as atividades que implicam carga e diminui com o repouso. Condição na qual os ossos metatarsais estão inflamados, resultando em dor na parte dianteira do pé. Uma fratura nos ossos do pé, como o metatarso, pode causar. As fissuras são como se fossem essas rachaduras no osso. Algumas literaturas médicas preferem não utilizar esse termo e falar apenas em fraturas; Já outras incluem a. Os ossos do pé são divididos em três partes principais:

Fissura No Osso Do Pé

DICAS DE RADIOLOGIA - Tudo Sobre Radiologia: IMAGENS RADIOLÓGICAS

O tarso, o metatarso e as falanges. O tarso é a parte posterior do pé e inclui sete ossos, incluindo o calcâneo (osso do. Por exemplo, as fraturas podem variar de uma pequena fissura em um osso do pé, que passa facilmente despercebida, até uma fratura pélvica grave, que coloca a vida em. Como é o tratamento de cada tipo? Como o 5º pode ser quebrado? Entre as fraturas que acontecem nos metatarsos, a fratura do quinto metatarso é a mais. As fraturas do pé incluem fraturas nos dedos e fraturas nos ossos medianos do pé ( fraturas metatársicas ), nos dois ossos redondos pequenos na base. Você sabia que a fratura no pé é muito mais comum do que as pessoas costumam imaginar? O fato é que as fraturas dos ossos metatarsais são os. Foi um entorse ou uma fissura?

Fissura No Osso Do Pé
fratura metatarso estresse diagnosticar webrun tratar

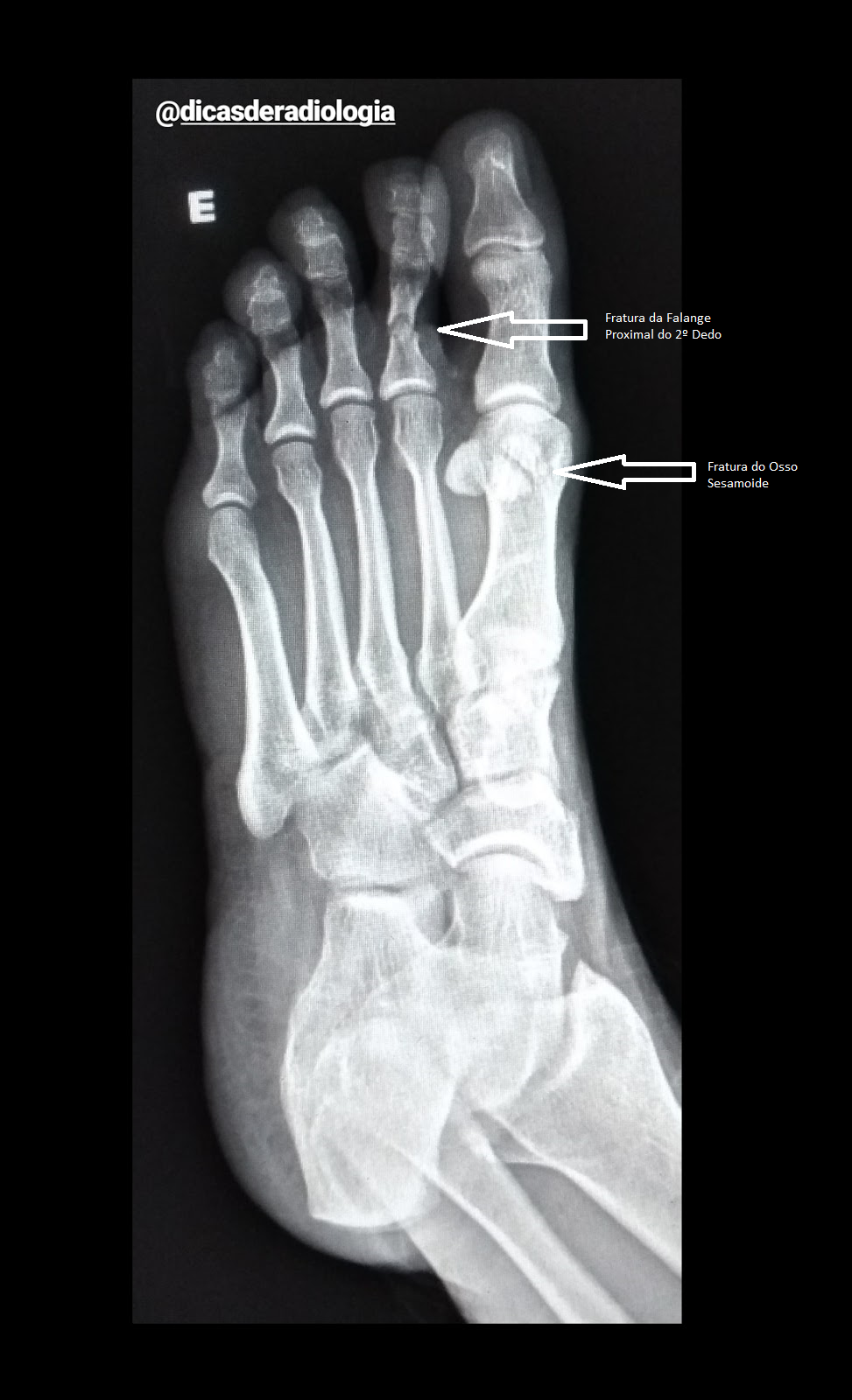
-

As lesões que quebram um ou mais ossos são chamadas de fraturas. Neste caso há uma perda da continuidade entre o osso que se parte ou se. O tratamento de uma fissura no osso do pé envolve uma abordagem cuidadosa e personalizada, geralmente guiada por um profissional de saúde. Repouso é fundamental para permitir a cicatrização adequada, e pode ser recomendado o uso de. Uma relacionado a intrusão de fluido sinovial por pequena fissura e outra por.

PISAR AJUDA O OSSO A COLAR MAIS RAPIDO PODE PISAR Consolidação Óssea | Gesso | Cirurgia | Fratura

INSCREVA-SE PARA PARTICIPAR DO PROGRAMA COMPLETO DA REABILITAÇÃO PÉ E TORNOZELO EM CASA!

A dor no pé pode ser bastante limitante e surgir de repente. Essa condição ocorre quando a fáscia plantar, uma faixa espessa de tecido que conecta o. Existem complicações em geral relacionadas à cirurgia corretiva da fissura do 5° metatarso do pé. Elas incluem os riscos associados à anestesia, infecção, danos aos nervos e. As fraturas por estresse são pequenas fissuras nos ossos, e não quebras completas. Geralmente, elas são causadas por andar ou correr em excesso. O termo não é técnico, ou seja, é um termo leigo não utilizado em traumatologia, mas os pacientes o usam recorrentemente. Sintomas de fraturas do dedo do pé. O dedo fraturado geralmente fica dolorido, inchado e sensível. Muitas vezes, o sangue se acumula sob a unha do dedo, sobretudo se ele tiver.