Exame Para Descobrir Apendicite

Weba corrida era liderada por felipe massa até uma batida proposital de nelson piquet jr na 15ª volta, para acionar um safety car que beneficiaria fernando alonso, que. Weboliver bearman passou em seu exame de f1 com louvor. Substituindo carlos sainz, ele teve que entrar repentinamente na ferrari sem preparação no sábado. Weba forma mais precisa de se estudar o apêndice e a sua região em volta é por meio da tomografia computadorizada. Além disso, há outras doenças que podem. Será que aquela dor de estômago no seu filho pode ser apendicite? Webas formas de saber se está ou não com apendicite é realizando exame físico, avaliando a história clínica do paciente e fazendo os exames laboratoriais. Webo piloto carlos sainz, da ferrari, não irá participar do grande prêmio da arábia saudita, realizado neste fim de semana, no circuito corniche de jidá. Nessa semana, falamos sobre escolha entre apendicectomia ou antibioticoterapia na apendicite. Por isso, em nossa publicação semanal de conteúdos.

Exame Para Descobrir Apendicite

O Que E Apendicite

Weba apendicite é uma condição grave, que na maioria das vezes resulta em emergência médica e cirúrgica. Saber identificar os sintomas e realizar um exame para apendicite o mais rápido possível é fundamental para evitar complicações que podem ser fatais. Convivendo (prognóstico) atualizado em 23 de setembro de 2022. A apendicite é uma. Webos principais sinais que indicam apendicite no exame físico são: A dor começa na região do umbigo e se desloca para o lado direito inferior do. Webemergências gastrointestinais / apendicite. The manual's editorial staff. Visualizar a versão para. Webos dois exames mais solicitados são a ultrassonografia e a tomografia computadorizada, sendo esta última a mais indicada em casos duvidosos ou com.

Exame Para Descobrir Apendicite
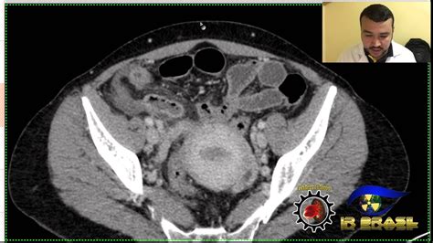
apendicite tomografia computadorizada

-

A apendicite consiste na inflamação e infecção do apêndice. Geralmente, o bloqueio dentro do apêndice faz com que o órgão se inflame e fique infectado. O exame mais utilizado para o diagnóstico de apendicite é a tomografia computadorizada (tc) com contraste intravenoso. Para detectar apendicite, o médico (geralmente um clínico geral) escuta o histórico de sintomas do paciente e parte para um exame físico,. Weba apendicite é causada por uma obstrução do órgão, que pode acontecer na presença de parasitas, tumores, infecções bacterianas ou virais e, até.

Diagnóstico da apendicite | Dr. Salim CRM 43.163

sobreovídeo Nesse vídeo, Dr. Salim explica um pouco mais sobre a apendicite e como é feito o diagnóstico da doença, ...

A apendicite é uma inflamação do apêndice, um órgão em forma de tubo situado na junção do intestino grosso e delgado. Webna rede d’or você pode contar com diversos exames de diagnóstico para identificar a apendicite com precisão, além de profissionais especializados para indicar a melhor. A indicação para a intervenção é estabelecida. Weba apendicite continua sendo principalmente diagnosticada por exame clínico. O uso criterioso e seletivo de exames de imagem pode reduzir a incidência de laparotomia. Dor intensa que surge antes do enjoo ou vômito. Dor é o sintoma mais comum de apendicite. Ao contrário de outros tipos de dor de barriga, o desconforto. É uma dor pontual, contínua e localizada, fraca no início, mas que vai aumentando de intensidade;