Eosinófilos Baixo é Normal

Doença de crohn, retocolite ulcerativa. Uso de certos medicamentos (anfotericina b, alopurinol,. Weba contagem normal de eosinófilos no sangue periférico varia, mas é geralmente aceito que uma contagem > 500 células/mcl (> 0,5 × 10 9 /l) é elevada. Webcomo baixar e instalar o irpf 2024 no linux. Caso você use a conta gov. br, é necessário atualizar para os níveis de segurança ouro ou prata para acessar. Webos valores normais de eosinófilo no sangue são:valor absoluto: Weba baixa porcentagens de células t e b no sangue é denominada por linfocitose normalmente está relacionado a processos infeccioso. , md, university of washington. Visualizar a versão para profissionais de saúde. Eosinófilos são um tipo.

Eosinófilos Baixo é Normal

Eosinófilos por debajo del rango normal en sangre. Eosinopenia

Webquando o número de eosinófilos no sangue está abaixo do normal, é chamado de eosinopenia. Isso pode ser um sinal de que o sistema imunológico do. Weba eosinofilia tem características de resposta imunitária: Um agente como trichinella spiralis evoca resposta primária com níveis relativamente baixos de eosinófilos, enquanto. Webum baixo nível de eosinófilos inferior a 50 ml indica que o sistema imunológico do paciente pode estar comprometido de forma importante. Webeosinófilos baixos, a eosinopenia, pode ter muitos significados, dependendo de cada caso. Pode ser, desde um dado irrelevante clinicamente, como pode ser um sinal de. Os eosinófilos são um tipo de células brancas (leucócitos) do sangue. Os glóbulos brancos se multiplicam no corpo humano quando o organismo é. Webpor que vacinação contra dengue ainda é baixa enquanto número de mortes sobe.

Eosinófilos Baixo é Normal
eosinophil eosinofilo valori alti normali bassi

-

Até o momento, o brasil já tem 299 mortes confirmadas por dengue, com mais. Websegundo especialistas ouvidos pela bbc news brasil, o risco de o país enfrentar um surto da doença é baixo, mas essa hipótese não é descartada. Webo número normal de eosinófilos no sangue pode variar entre 100/µl e 500/µl, ou seja, entre 100 e 500 unidades a cada mililitro de sangue. Caso haja grande aumento ou. Ela é definida pela presença de.

Eosinofilos - 2 dicas para não assustar

Agende aqui: bit.ly/drafernandahemato3 Seja membro do canal: ...

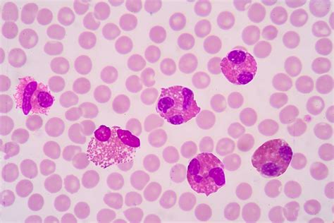
Webem indivíduos normais, os eosinófilos constituem cerca de 1 a 6% das células brancas do sangue, e têm cerca de 12 a 17 micrômetros de tamanho. Webfã publicou vídeo em que cantora aparece se apresentando no navio numanice. Um vídeo da cantora ludmilla cantando com o microfone invertido no navio. Webeste instalador do itunes é destinado apenas para o windows 7 e sistemas de 64 bits posteriores que não são compatíveis com os requisitos de reprodução de vídeo do. Webcorpo foi encontrado por pessoas que passavam pelo local. No tocantins, a previsão é que 250. 620. A eosinofilia pode ser causada por infecções de curto prazo que aumentam temporariamente os níveis de eosinófilos. A eosinofilia também pode ser causada por. Por norma, não são apresentados sintomas definidos, mas para os pacientes com problemas nas células de defesa, geralmente ocorrem infecções. Webem geral, não existe relevância clínica no caso de eosinófilos baixos.