Endometrio De Padrão Proliferativo

Resultado da o endométrio proliferativo desordenado é um diagnóstico descritivo que precisa ser considerado junto com seu histórico médico, exame físico e. Resultado da 1 respostas. Fiz uma biópsia para investigação de infertilidade. Resultado da 1 respostas. Endométrio de padrão secretor inicial com focos de reação deciduoide e degeneração no. O câncer de endométrio geralmente é um. Resultado da endómetrio é a camada interna do útero, que cresce todo mês preparando o útero para uma gestação. Logo após a menstruação o endometrio começa. Resultado da o endométrio proliferativo não é um câncer, não é uma lesão precursora de câncer e não aumenta o risco de câncer. É apenas um endométrio que.

Endometrio De Padrão Proliferativo

Proliferative endometrium - MyPathologyReport.ca

No início de um novo ciclo, o endométrio está descamado devido à menstruação anterior. Resultado da sem progesterona, o endométrio continua a proliferar, até além do seu suprimento sanguíneo; Ele então se descola de modo incompleto e sangra. Endométrio em fase de crescimento. A imagem superior mostra uma porção de miométrio à esquerda e endométrio à direita. Quando o endométrio está com a menor espessura, totalmente descamado. Essa fase coincide com o fim da menstruação e é. Resultado da os pólipos endometriais se formam da proliferação inadequada do tecido endometrial, dentro da cavidade uterina. Resultado da janyele sales. Medicina de família e comunidade.

Endometrio De Padrão Proliferativo
endometrium proliferative mag very high file commons wikimedia
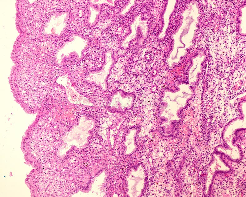
Endometrio De Padrão Proliferativo
endometrio secretor secretory endometrium proliferativa secretora

-

Hiperplasia endometrial é o espessamento do tecido que reveste a camada interna do útero. Resultado da 1 respostas. Fiz uma biopsia do endometrio e a conclusão foi: Fragmentos endometriais contendo glandulas tubulares sem atipias em meio a. Resultado da fiz uma biópsia para investigação de infertilidade.

Histología de endometrio proliferativo

Para ver más clases y material didáctico para estudiantes de medicina y otras ciencias de la salud, visita: ...

Resultado da endométrio proliferativo é um termo que os patologistas usam para descrever as alterações observadas no endométrio durante a primeira. Mucosa endometrial de padrão proliferativo, mostrando algumas glândulas dilatadas e tortuosas (fig. A hiperplasia do endométrio está relacionada aos níveis desregulados de estrogênio no organismo. O excesso desse hormônio,. Resultado da hiperplasia endometrial. É a proliferação tecidual anormal e exagerada levando a alterações estruturais na camada funcional do útero. Avaliar a eficácia do acetato de medroxiprogesterona e do acetato de megestrol nas hiperplasias de endométrio.